Home
Lo Studio
Reparti
Case Report
Blog
Contatti
Download
Contatti
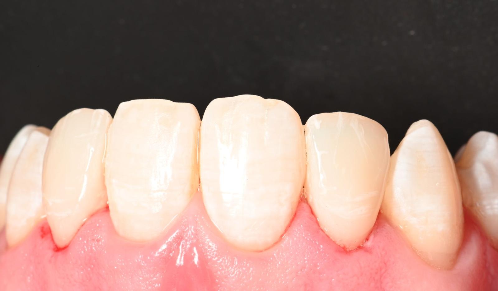
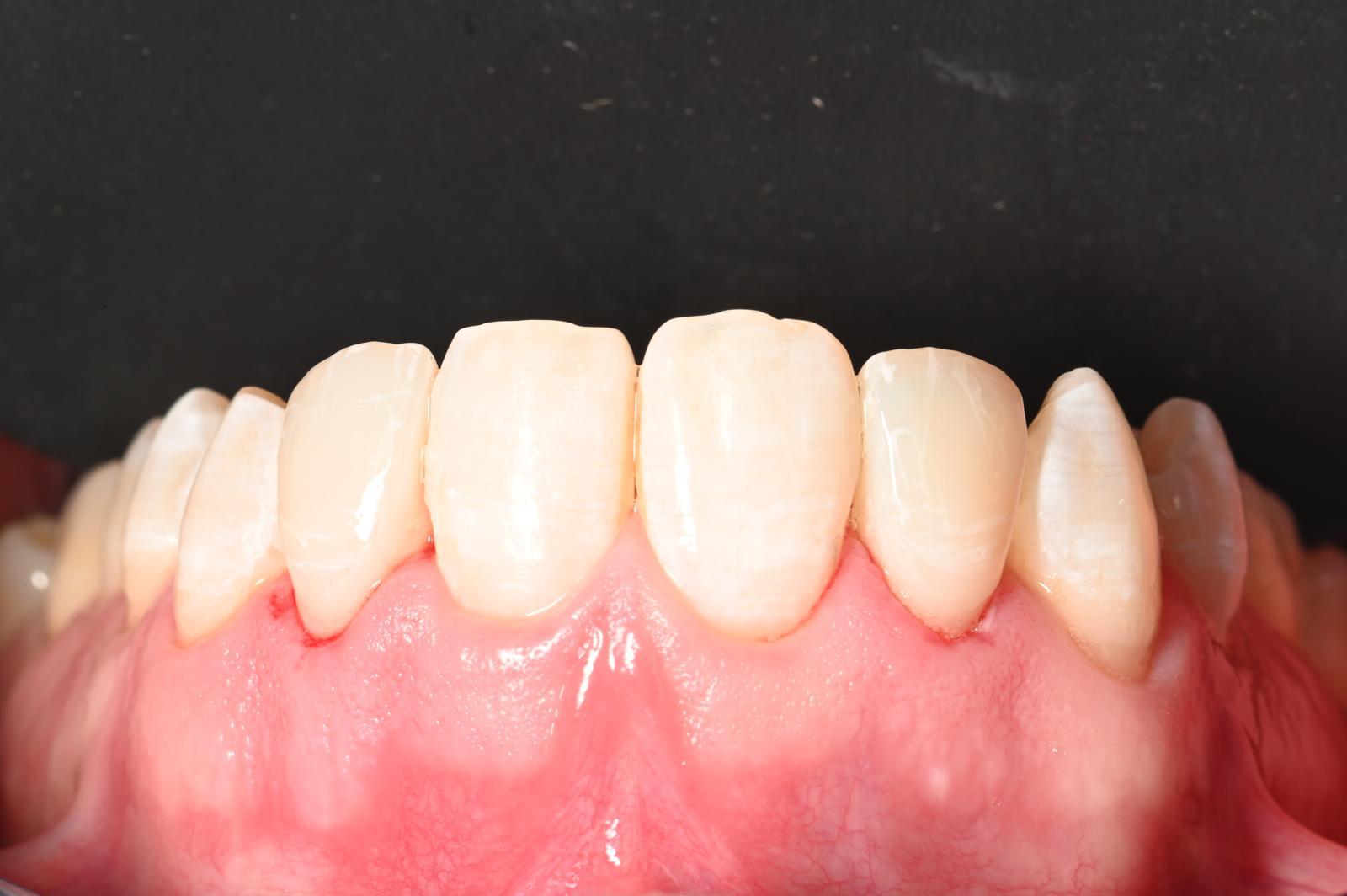
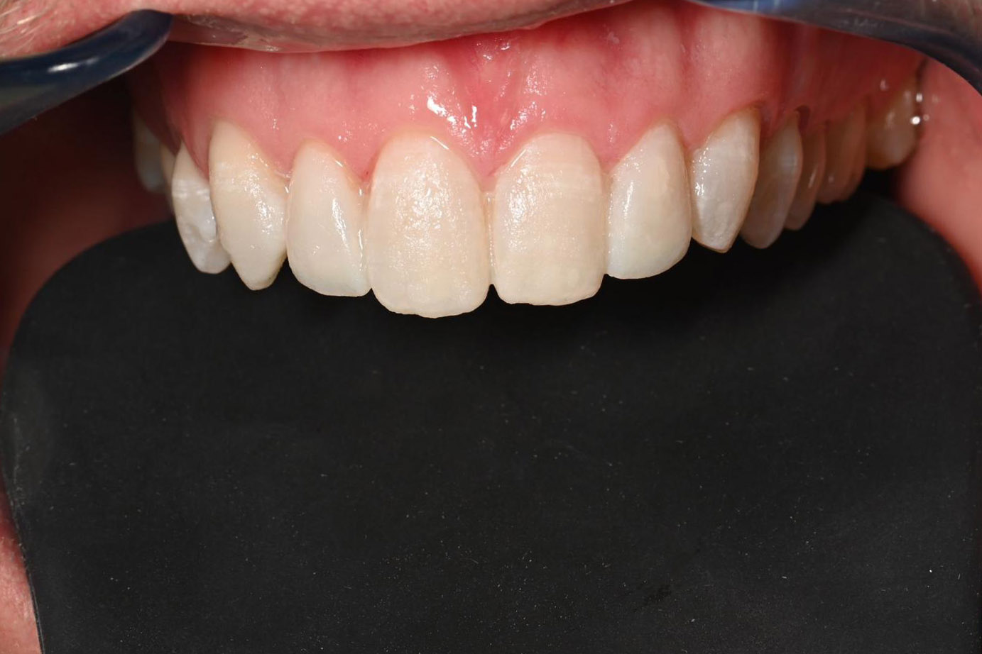
Faccette 12-22
Disilicato di Litio
Si ringrazia la Dott.ssa Massetti I.
No items found.
Torna ai Case Report
Desideri maggiori informazioni?
Contattaci senza impegno, ti risponderemo in un attimo!
Contattaci