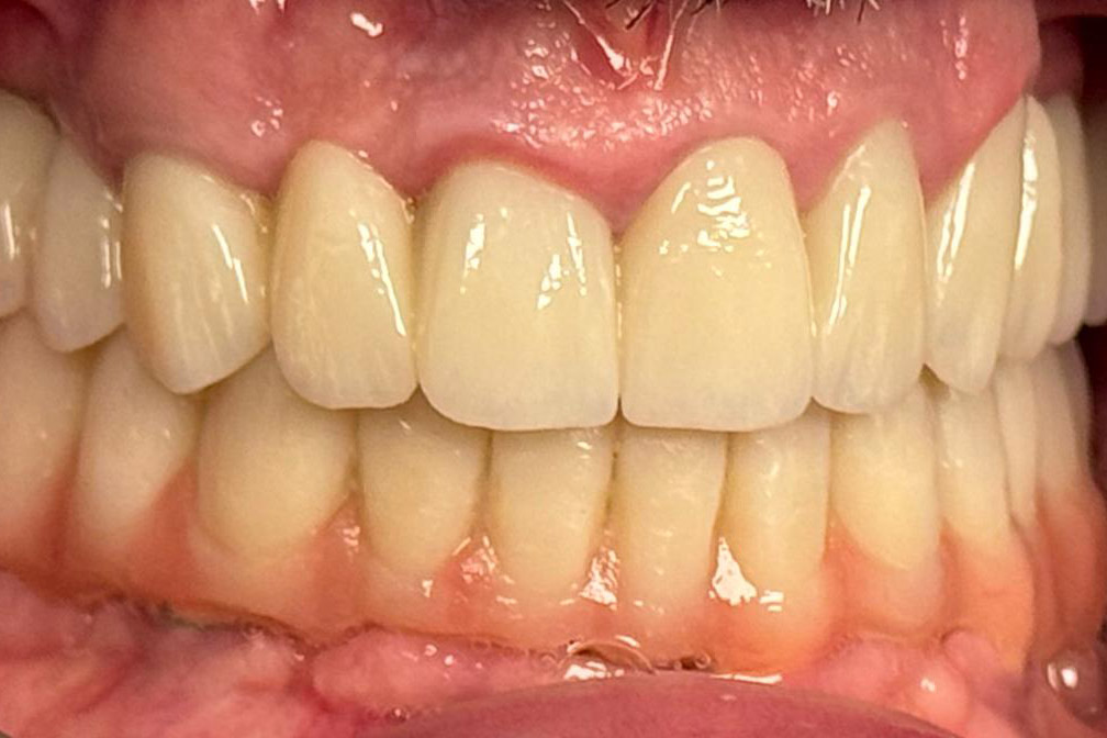
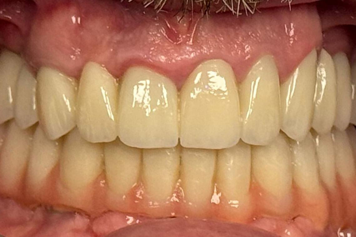
Riabilitazione superiore

e inferiore

Riabilitazione Superiore in Zirconia monolitica stratificata AO4, inferiore sotto struttura in Titanio/Zirconia stratificata. Si ringrazia il Dott. Chiesa F.

No items found.
Torna ai Case Report

Desideri maggiori informazioni?

Contattaci senza impegno, ti risponderemo in un attimo!
Contattaci